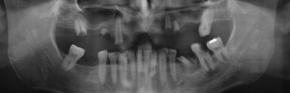
Implantologische Misserfolge

Ein Misserfolg muss nicht immer ein Implantatverlust sein. Auch eine Abweichung von dem mit dem Patienten geplanten und dem erzielbaren Ergebnis kann als Misserfolg verstanden werden.
Vom Misserfolg zur erfolgreichen Behandlung
Unkenntnis oder Versäumnisse

Implantologische Misserfolge können auf Unkenntnis von Begleitumständen und einer ungünstigen Abfolge von Ereignissen oder Versäumnissen beruhen.
Wir zeigen Ihnen an dieser Stelle Patientenfälle, die vorbehandelt in die Praxisklinik für dentale Implantologie gekommen sind und für die wir im Rahmen einer Weiterbehandlung eine Lösung gefunden haben. In vielen Fällen haben wir festgestellt, dass die Misserfolge vorhersehbar und vermeidbar gewesen wären.







